Pulpitis

Merete Markvart

Lektor, ph.d.

Fakta

  • Pulpitis er betændelse i tandens indre blødtvæv (pulpa), oftest kaldet tandens 'nerve' 
  • Pulpitis skyldes oftest caries, der har bredt sig dybt ind i tanden
  • Pulpitis kan også opstå, hvis tanden knækker som følge af en ulykke, eller der er blevet boret dybt i tanden pga. caries eller forberedelse til en tandkrone

Symptomer

  • Tandpine i form af milde, kortvarige, jagende smerter, som kan udløses af varme, kulde og af søde sager. Smerterne varer nogle sekunder og forsvinder
  • Hvis betændelsen bliver værre, bliver tandpinen stærkere
  • Ved kraftig betændelse får man pludselige og intense smerter

Behandling

  • Hvis betændelsen er mild i forbindelse med et cariesangreb, kan tandlægen fjerne carieret væv. Tandlægen renser det caries-inficerede tandben (dentin), hvorved betændelsen falder til ro 
  • Hvis betændelsen er kraftigere, kan pulpa gå til grunde, og der kan efterfølgende komme en infektion i tandens hulrum (pulpahulen), der også involverer tandroden (rodkanal). I sådanne tilfælde skal tanden rodbehandles. Herved fjernes pulpa ved en udrensning af tandens hulrum (pulpahulen og rodkanal). Derefter aflukkes rodkanalerne med en rodfyldning

Kort om tandens anatomi 

En tands krone er beklædt med emalje, og herunder er der dentin. I tandens hulrum (pulpahulen) er der blødt væv (pulpa), der indeholder tandens blodkar og nervetråde. Pulpa indeholder også celler, der er særligt gode til at opdage, hvis tanden udsættes for påvirkninger, der kan føre til betændelse. Tanden sidder fast i kæbeknoglen med bindevævsfibre, der forbinder roden med knoglen. Blodkar og nerver kommer fra kæbeknoglen ind i tanden via spidserne af tandrødderne.

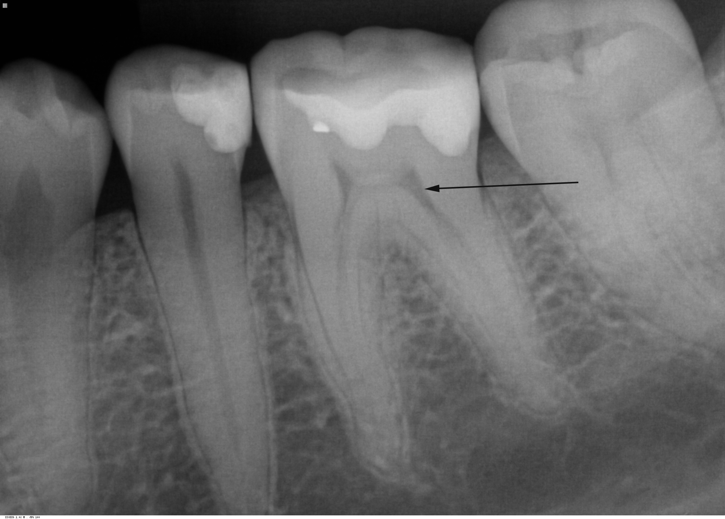
Den sorte pil viser hulrummet i tanden, hvor pulpa sidder.
 

Billedet viser et røntgenbillede af tænder i underkæben. Pilen peger på en kindtands hulrum (pulpahulen), hvor pulpa er beliggende. Bemærk, at hver rod har et hulrum, der fører ned til rodspidsen, hvor kar og nerver kommer ind i tanden. 

Hvad er pulpitis?

Pulpitis er betændelse i det bløde væv i tandens hulrum. Tilstanden skyldes ofte dyb caries i dentinen. Bakterierne fra det dybe cariesangreb sidder i dentinen uden direkte kontakt med pulpa, men de producerer skadelige stoffer, der fører til betændelsestilstanden.

Milde grader af pulpitis kan føre til, at pulpa producerer ekstra dentin. Det kan være gavnligt, og betændelsen kan helt forsvinde (reversibel pulpitis), hvis man behandler årsagen. Hvis man ikke behandler pulpitis i tide, opstår der irreversibel pulpitis, og så kan pulpa ikke bevares. Så vil vævet i pulpa gå til grunde (nekrose). Se tegning af pulpitis.

Hvad er apikal parodontitis

Hvis bakterier fra det dybe cariesangreb kommer i direkte kontakt med den betændte pulpa, bliver forløbet mere kompliceret og pulpavævet vil gå til grunde. Over tid vil der dannes en rodspidsbetændelse, som efterfølgende kan føre til en tandbyld (absces). I sådanne tilfælde er tandens pulpa gået til grunde, rodkanalen er inficeret med bakterier, og tanden skal rodbehandles.

Hvad er symptomerne på pulpitis?

I de fleste tilfælde er caries årsag til pulpitis. I starten er symptomerne:

  • Tandpine i form af milde, kortvarige, jagende smerter, som kan udløses af varme, kulde og af søde sager. Smerterne varer nogle sekunder og forsvinder
  • Hvis pulpitis ikke behandles, kan betændelsen blive værre, og så bliver tandpinen kraftigere

Ved irreversibel pulpitis får man pludselige og intense smerter. Det kan være svært at afgøre, hvor smerten kommer fra. Smerten er vedvarende og dump. Den angrebne tand kan også være øm ved tygning. 

Hvad er symptomerne på apikal parodontitis

Ved en død og bakterieinficeret pulpa opstår en betændelse omkring tandens rodspids. Denne betændelse kan ses på et røntgenbillede som et mørkt område omkring rodspidsen, hvor knoglevævet er opløst. I munden kan der som følge af en rodspidsbetændelse komme en tandbyld med hævet tandkød, og man kan få ømme lymfeknuder i området. Ubehandlet kan en tandbyld være livstruende. 

Hvordan stilles diagnoserne? 

Ved diagnosen pulpitis, konstaterer tandlægen, at tanden stadig har en levende tandnerve. Det gøres ved at påføre tanden kulde eller en svag elektrisk impuls, hvorved du kan føle let smerte i tanden. Der tages også et røntgenbillede for at vurdere, om der er udviklet en rodspidsbetændelse. 

Hvorfor får man pulpitis, og hvordan udvikler den sig?

Pulpitis opstår typisk som følge af caries, hvis bakterierne kommer i direkte kontakt med pulpa. Når bakterierne trænger gennem dentinen og ind i pulpa, opstår der en infektion. Hvis tanden knækker, fx ved en faldulykke, eller hvis der under en tandbehandling fjernes meget af tanden, kan bakterierne komme ind i nerven gennem små kanaler i dentinen, eller ved at pulpa pludselig fritlægges helt som følge af skaden. 

Reversibel pulpitis er en tilstand, hvor bakterierne i et cariesangreb er begrænset til dentinen og ikke er i kontakt med pulpa. Ved irreversibel pulpitis er der kraftig betændelse, og bakterierne er meget tæt på og på vej ind i pulpa. Det giver skader, som man ikke kan rette op på. Uden behandling går vævet i pulpa til grunde.

Uden behandling af pulpitis breder betændelsen sig ned i tandens rod og ud i knoglen omkring tandrodens spids (rodspidsbetændelse eller parodontitis apicalis) og evt. i tandkødet omkring tanden. Der kan opstå en tandbyld (absces). Det er normalt en lokal infektion. Kun i sjældne tilfælde kan der ske en spredning og alvorligere infektion. Udvikling af parodontitis apicalis kan formentlig også udvikles som følge af bakteriespredning med blodet. 

Smitter pulpitis?

Nej, betændelsen i pulpa er lokal, den kan ikke spredes til andre tænder, ej heller til andre mennesker. 

Er pulpitis arvelig?

Nej, betændelse i pulpa er ikke arvelig, da baggrunden er udefra kommende lokale påvirkninger af tanden. 

Hvordan behandles pulpitis?

Ved reversibel pulpitis fjerner tandlægen caries og reparerer tanden med en tandfyldning eller en krone. 

Ved irreversibel pulpitis er behandlingen åbning af tanden til pulpa. Herved fjernes det betændte og døde pulpavæv, og tandlægen rengør og fylder rodkanalen (rodfyldning). Alternativt fjernes tanden, hvis den er så ødelagt, at den ikke kan bevares. 

Hvordan behandles apikal parodontitis

Hvis pulpitis har udviklet sig til en rodspidsbetændelse, evt. med tandbyld, fjerner tandlægen dødt pulpavæv, bakterier i rodkanalen, tømmer evt. pus ud og rekonstruerer tanden. Alternativt kan tanden trækkes ud for at fjerne infektion. I sjældne tilfælde kan betændelsen sprede sig til dybere vævsområder. Hvis der er feber, og almentilstanden forværres, skal du have antibiotika. I sjældne tilfælde kan tandlægen vælge at indlægge dig på hospital. 

Antibiotika alene kan ikke behandle årsagen til pulpitis og apikal parodontitis.

Hvad kan jeg selv gøre?

Du skal kontakte din tandlæge for en undersøgelse og behandling af problemet så hurtigt som muligt. Undlad at vente, da tilstanden kan forværres, og da smertestillende medicin kan virke utilstrækkeligt. 

Hvordan undgår jeg at få eller forværre pulpitis?

Hvis man bliver regelmæssigt undersøgt og behandlet for caries i det tidlige stadium, kan man normalt undgå at få pulpitis.

Hvordan går det efter behandlingen?

Hvis den reversible pulpitis behandles i tide, er der rigtig god chance for at tanden kan helbredes og bevares. Den irreversible pulpitis kræver en rodbehandling. Ved korrekt udført behandling kan tanden sædvanligvis bevares, og smerten forsvinder. 

Når tanden er rodbehandlet, er det vigtigt, at roden er aflukket på bedst mulig måde mod mundhulen. Dermed er risikoen for en ny bakteriel infektion formindsket. I modsætning til en levende tand giver en rodbehandlet tand ikke mulighed for at mærke det karakteristiske ubehag, hvis man tygger meget hårdt. Derfor kan den rodbehandlede tand overbelastes ved almindelig tygning. Sammenholdt med, at tanden ofte har en dybere og større fyldning efter rodbehandling, kan dette føre til, at tanden lettere knækker. Derfor er der væsentlige grunde til, at tandlægen kan vælge at behandle og forstærke den rodbehandlede tand med en kunstig tandkrone, da dette kan mindske risikoen for, at tanden knækker. 

Hvor hyppig er pulpitis?

Pulpitis er almindeligt forekommende. Tilstanden er en af de hyppigste grunde til, at man søger akut tandlægehjælp.

Kan man få pulpitis mere end én gang?

Ja, både i samme tand, men også nabotænder, hvis de på samme måde påvirkes af de ovenfor beskrevne faktorer (fx caries eller traume). 

Vil du vide mere?

Kilder

Fagmedarbejdere

Merete Markvart

Lektor, ph.d., Odontologisk Institut, Københavns Universitet

Simon Storgård Jensen

Professor, tandlæge, Københavns Universitet, Odontologisk Institut

Jette Kolding Kristensen

praktiserende læge, professor, ph.d., Center for Almen Medicin ved Aalborg Universitet

Indhold leveret af

Patienthåndbogen

Patienthåndbogen

Kristianiagade 12

2100 København Ø

DisclaimerPatienthåndbogen