Binyre, incidentalom, CT

Binyre-adenom-CT

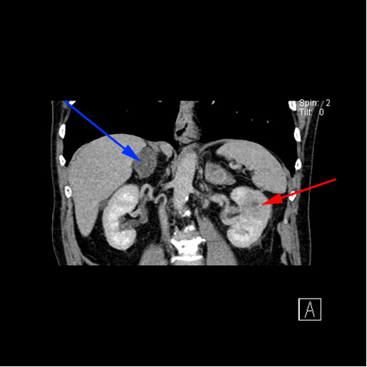
CT-skanning af øvre del af maven (abdomen) viser en forstørret, fedtholdig binyre på højre side, et såkaldt incidentalom (tilfældigt fund) og en ondartet (malign) knude i venstre nyre (rød pil). Der er ingen sammenhæng mellem de to fund.

Har du en kommentar til artiklen?

Bemærk venligst, at du IKKE vil modtage svar på henvendelser, der omhandler din egen sygdom, pårørendes sygdom, blodprøvesvar, hjælp til at udarbejde skoleopgaver og litteratursøgning.

Indhold leveret af

Lægehåndbogen

Lægehåndbogen

Kristianiagade 12

2100 København Ø

DisclaimerLægehåndbogen