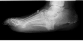
Charcots fod, kronisk

På røntgenbilledet af kroniske Charcots fod ses svære destruktioner og fejlstillinger af knoglerne.
Se også foto af den akutte Charcots fod
Kilde: Foto og tekst til foto: Inge L. Kjær og Ugeskriftet for Læger; 170/33, s. 2442, "Den diabetiske Charcots fod" af Tomas Møller Christensen med flere., den 11. august 2008.
vil du vide mere?
- Charcots fod - for borgere
- Charcots fod - for sundhedsfaglige
Indhold leveret af