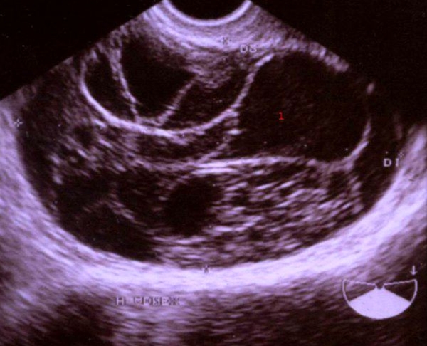
Ultralydskanning, musinøst cystadenom

aeggestok-mucinoest cystadenom-ultralyd

Ultralydskanning af æggestok

Æggestok med fler-kamret cyste

Har du en kommentar til artiklen?

Bemærk venligst, at du IKKE vil modtage svar på henvendelser, der omhandler din egen sygdom, pårørendes sygdom, blodprøvesvar, hjælp til at udarbejde skoleopgaver og litteratursøgning.

Indhold leveret af

Lægehåndbogen

Lægehåndbogen

Kristianiagade 12

2100 København Ø

DisclaimerLægehåndbogen