Aorta, CT, dissektion
CT-scanning af patient med dissektion af aorta
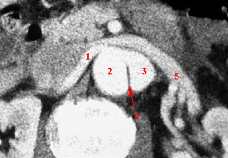
Øverste billede er et tværsnit (axial billede) af aorta med kontrast. Snit gennem aorta i niveau med højre nyrearterie.
- Højre nyrearterie
- Falskt lumen i aorta
- Sande lumen i aorta
- Dissektionsmembran/ løsnet intima
- Venstre nyrevene

Nederste billede er et længdesnit (coronal rekonstruktion).
- Venstre nyrearterie perfunderes fra det sande lumen
- Højre nyrearterie perfunderes fra det falske lumen
- Aortalumen er delt i to af den løsnede intima, der står som en membran mellem det sande og det falske lumen
- Hul i intima (re-entry) i niveau med nyrearterierne
Indhold leveret af