Aortastent, angiografi

aorta-stentgraft-roentgen

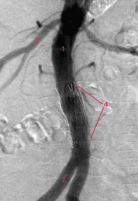
Arteriografi af aorta abdominalis efter indsættelse af aortastent indlagt via a. femoralis i lysken (røntgenkontrast-undersøgelse af legemspulsåren efter indsættelse af afstivende foring).

  1. Aorta abdominalis (legemspulsåren i maven)
  2. Højre a. iliaca communis (bækkenpulsåren) 
  3. Højre nyrearterie
  4. Stent (afstivende foring for at åbne forsnævring, åreforkalkning)

 

Har du en kommentar til artiklen?

Bemærk venligst, at du IKKE vil modtage svar på henvendelser, der omhandler din egen sygdom, pårørendes sygdom, blodprøvesvar, hjælp til at udarbejde skoleopgaver og litteratursøgning.

Indhold leveret af

Lægehåndbogen

Lægehåndbogen

Kristianiagade 12

2100 København Ø

DisclaimerLægehåndbogen