Bækkenarterie, røntgen, stent

baekkenarterie-stent-rgt

Åreforkalkning i pulsåren til benet

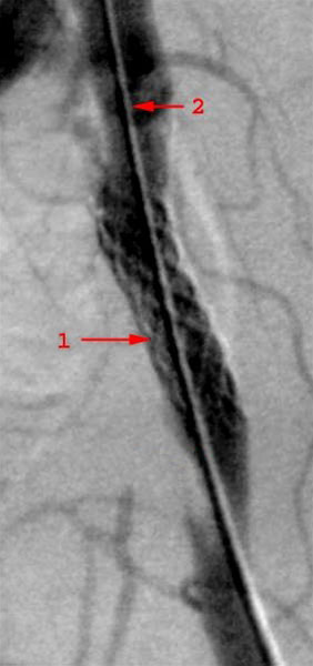
Forsnævring (stenose) i venstre bækkenarterie behandlet med stent. En Palmaz-stent (1) er indsat, som holder den forsnævrede del af pulsåren åben. Røntgenkontrast væske indsprøjtet gennem kateter (2) indført fra lysken. 

Har du en kommentar til artiklen?

Bemærk venligst, at du IKKE vil modtage svar på henvendelser, der omhandler din egen sygdom, pårørendes sygdom, blodprøvesvar, hjælp til at udarbejde skoleopgaver og litteratursøgning.

Indhold leveret af

Lægehåndbogen

Lægehåndbogen

Kristianiagade 12

2100 København Ø

DisclaimerLægehåndbogen