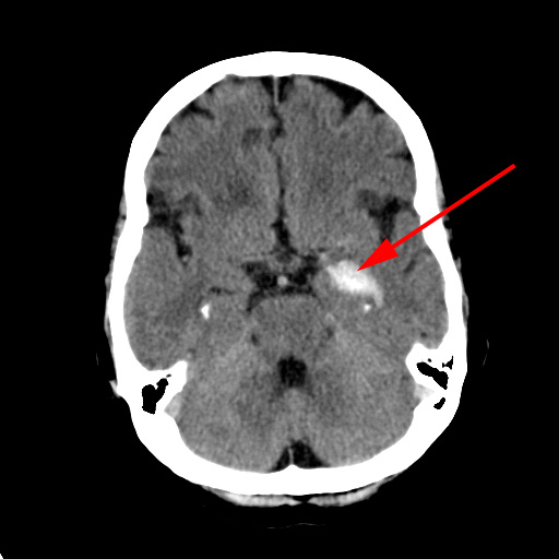
Hjerne, blødning, CT 1

CT-skanning af cerebrum der viser en frisk blødning i hjernen (rød pil) hos to forskellige patienter.
Indhold leveret af

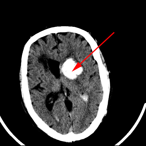
CT-skanning af cerebrum der viser en frisk blødning i hjernen (rød pil) hos to forskellige patienter.
Indhold leveret af