Hjerne, infarkt, CT

hjerne-cerebrum aeldre infarkt-ct
7579

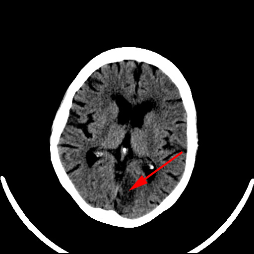
CT-skanning af cerebrum viser et ældre infarkt (rød pil) i den venstre occipitallap.

Vil du vide mere?

Har du en kommentar til artiklen?

Bemærk venligst, at du IKKE vil modtage svar på henvendelser, der omhandler din egen sygdom, pårørendes sygdom, blodprøvesvar, hjælp til at udarbejde skoleopgaver og litteratursøgning.

Indhold leveret af

Lægehåndbogen

Lægehåndbogen

Kristianiagade 12

2100 København Ø

DisclaimerLægehåndbogen