Nyrearteriestenose, arteriografi, ballondilatation
Arteriografi (Røntgenkontrastundersøgelser) med ballonbehandling af venstresidig nyrearteriestenose (forsnævring af pulsåren til venstre nyre).
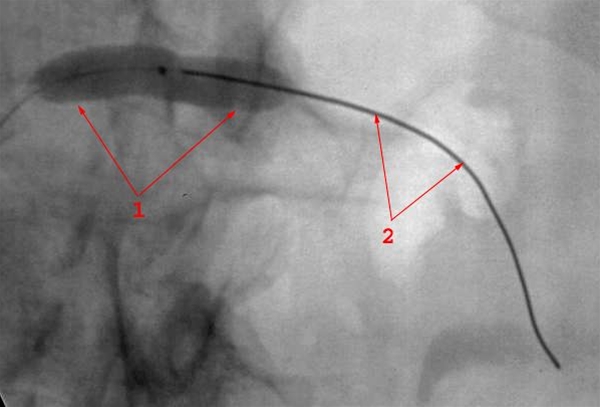
Forsnævring (stenose) (1) i venstre nyrearterie lige efter afgangen fra legemspulsåren (aorta) er behandlet med ballonudvidelse. Ballonen er indført via pulsåren i lysken, ført baglæns op i aorta og så ud i nyrearterien ledt af en guide-wire (2), som er lagt gennem stenosen.

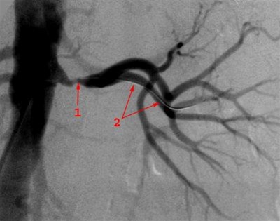
Afsluttende arteriografi efter dilatation af stenose i nyrearterien med 5 mm ballon - perkutan transluminal renal angioplastik (PTRA). Ballonen er fjernet, mens guide-wire stadig ligger i nyrearterien. Røntgenkontrastvæske viser at forsnævringen er ophævet.

Vil du vide mere?
Indhold leveret af