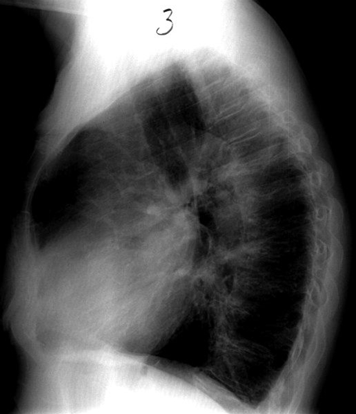
Cor pulmonale, sideoptagelse

lunger-cor pulmonale side-roentgen

Cor pulmonale (hjerteforstørrelse på grund af forhøjet vaskulær modstand i lungekredsløbet).

Forstørret højre hjertehalvdel.

Bifund: Tydelig forkalket aortabue.

Vil du vide mere?

Yderligere illustrationer:

Har du en kommentar til artiklen?

Bemærk venligst, at du IKKE vil modtage svar på henvendelser, der omhandler din egen sygdom, pårørendes sygdom, blodprøvesvar, hjælp til at udarbejde skoleopgaver og litteratursøgning.

Indhold leveret af

Lægehåndbogen

Lægehåndbogen

Kristianiagade 12

2100 København Ø

DisclaimerLægehåndbogen