Lunge, pleuraforkalkninger, røntgen
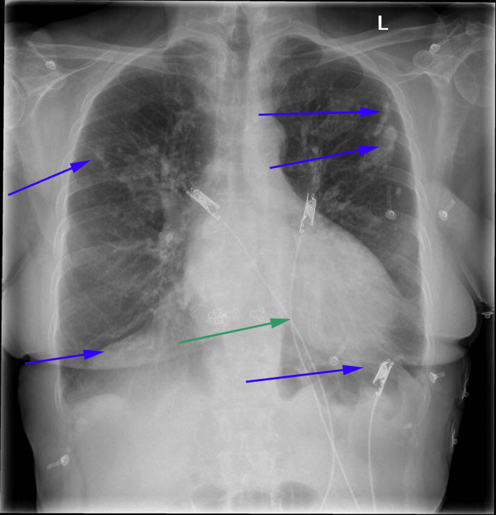
A: Røntgenundersøgelse af thorax. På den første optagelse (A- ovenfor) ser man en del forkalkninger i lungehinderne (blå pile) som skyldes, at patienten har været udsat for asbest. Metaltrådene (grøn pil) er EKG-elektroder.

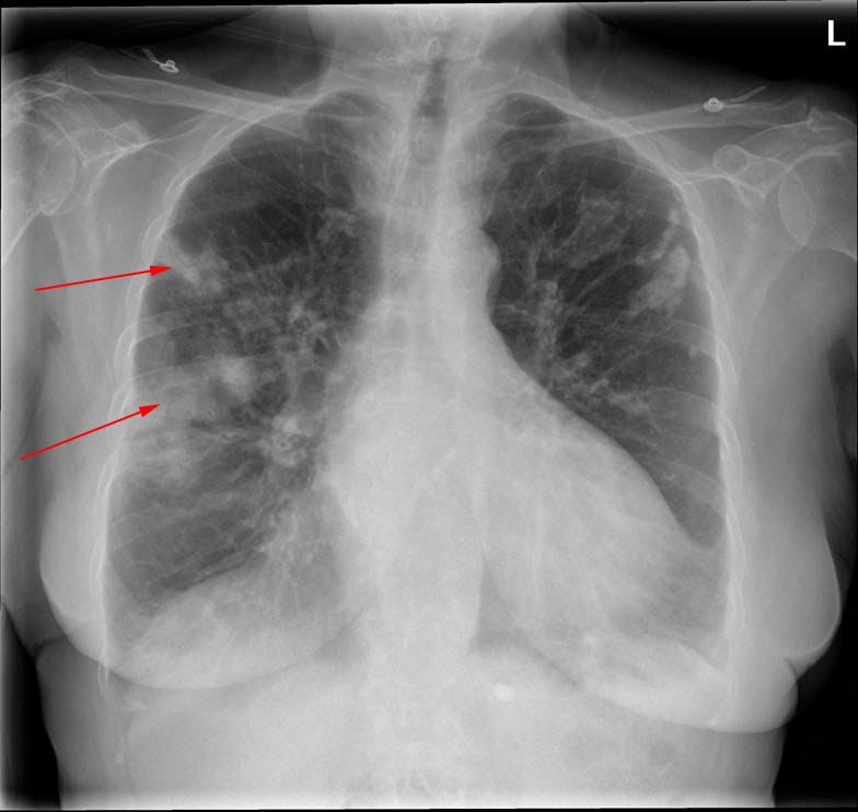
B: Et par uger efter første undersøgelse får patienten feber, og man foretager ny røntgenundersøgelse (B). Man ser, at der er kommet to infiltrater på højre side (røde pile); patienten har fået lungebetændelse.
Indhold leveret af