Lungeabsces, røntgen

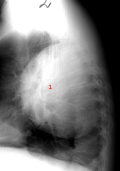
Stor lungeabsces, pusfyldt hulrum i lungevævet (1), set fra siden.

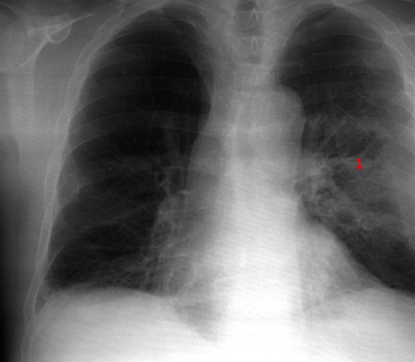
Restforandringer efter behandling af venstresidig lungeabsces (1).
Vil du vide mere?
Indhold leveret af

Stor lungeabsces, pusfyldt hulrum i lungevævet (1), set fra siden.

Restforandringer efter behandling af venstresidig lungeabsces (1).
Indhold leveret af