Lungekræft, røntgen

lunger-lungecancer-roentgen
337

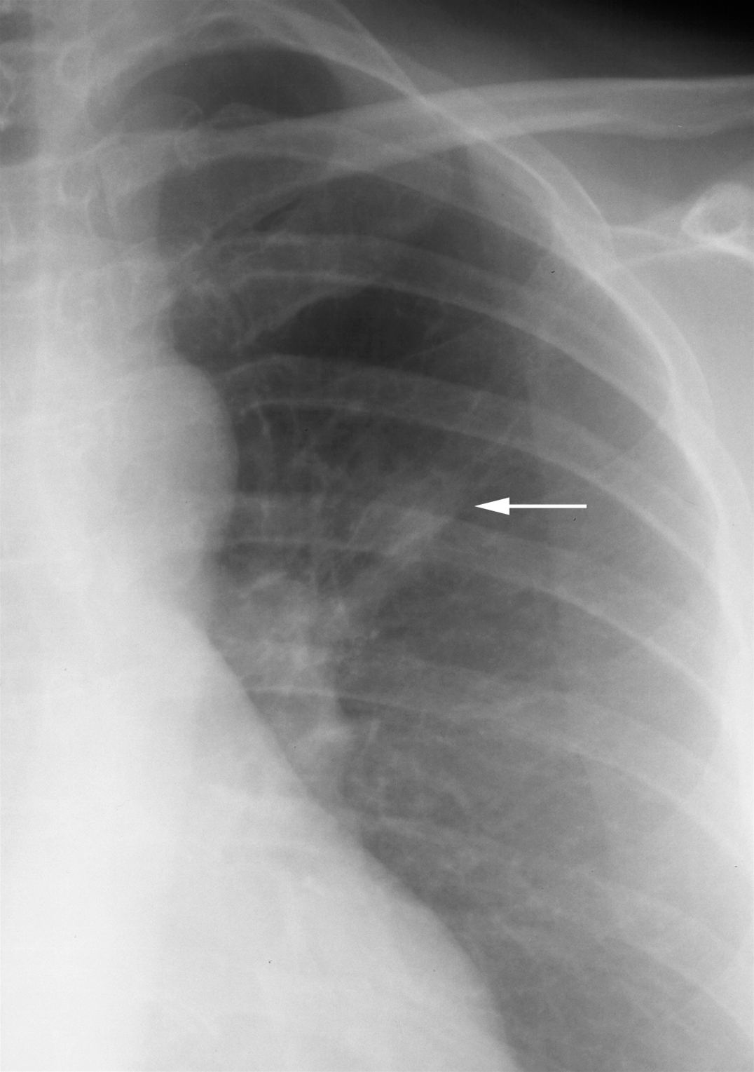
Røntgenbilledet viser en lille og lidt uskarp, afgrænset tumor i venstre lunges overlap (pil). Samme tumor som på billedet "Lungekræft CT".

Vil du vide mere?

Har du en kommentar til artiklen?

Bemærk venligst, at du IKKE vil modtage svar på henvendelser, der omhandler din egen sygdom, pårørendes sygdom, blodprøvesvar, hjælp til at udarbejde skoleopgaver og litteratursøgning.

Indhold leveret af

Lægehåndbogen

Lægehåndbogen

Kristianiagade 12

2100 København Ø

DisclaimerLægehåndbogen