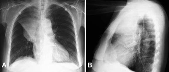
Lungekræft, front- og sidebillede

lunger-lungekraeft front og side-roentgen
1450

Frontal- og sidebillede af et bronkogent carcinom som har forårsaget atelektase af højre overlap.

Vil du vide mere?

Har du en kommentar til artiklen?

Bemærk venligst, at du IKKE vil modtage svar på henvendelser, der omhandler din egen sygdom, pårørendes sygdom, blodprøvesvar, hjælp til at udarbejde skoleopgaver og litteratursøgning.

Indhold leveret af

Lægehåndbogen

Lægehåndbogen

Kristianiagade 12

2100 København Ø

DisclaimerLægehåndbogen