Lunger, betændelse, CT
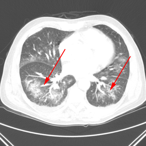
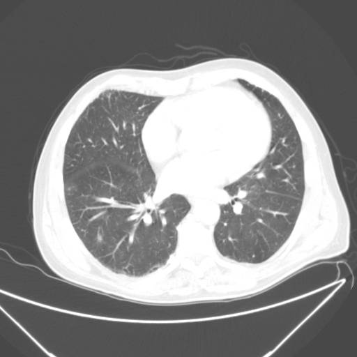
To CT-skanninger af lungerne på samme patient. Først er det øverste billede taget og 6 dage senere tages billedet neden for. Patienten udvikler lungebetændelse, som fremstår som hvide områder i lungerne på billedet neden for (røde pile).

Indhold leveret af