Lunger, malign tumor, røntgen og CT
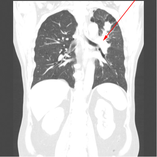
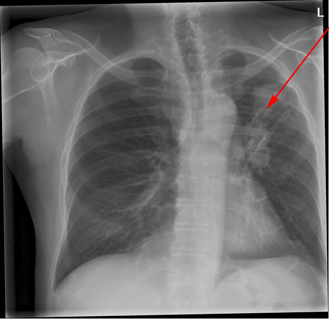
Røntgen (oven for) og CT-optagelse (neden for) af den samme patients lunger med få dages mellemrum. Begge billeder viser stor lungetumor i venstre overlap (røde pile).

Indhold leveret af
Røntgen (oven for) og CT-optagelse (neden for) af den samme patients lunger med få dages mellemrum. Begge billeder viser stor lungetumor i venstre overlap (røde pile).

Indhold leveret af