Lunger, Metastaser, Røntgen 2
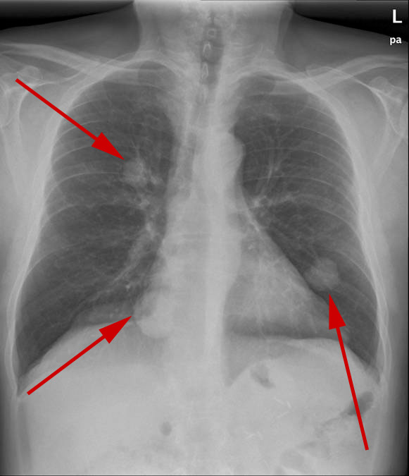
Røntgenundersøgelse af thorax som viser rundinfiltrater i begge lunger. Det skyldes kræftspredning til lungerne, såkaldte metastaser.

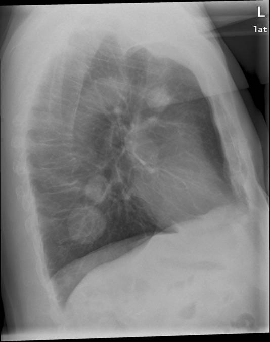
Samme patient som ovenstående - sidebillede.
Indhold leveret af
Røntgenundersøgelse af thorax som viser rundinfiltrater i begge lunger. Det skyldes kræftspredning til lungerne, såkaldte metastaser.

Samme patient som ovenstående - sidebillede.
Indhold leveret af