Lunger, røntgen, primær tuberkulose, før behandling

lunger-primaer tuberkulose-roentgen
352

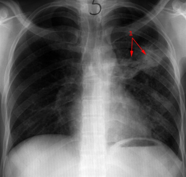
Primær tuberkulose - billede 1

Udbredte fortætninger i venstre lunge (1). Før behandling.

Se billede 2: Primær tuberkulose, behandlet, røntgen

Vil du vide mere?

Har du en kommentar til artiklen?

Bemærk venligst, at du IKKE vil modtage svar på henvendelser, der omhandler din egen sygdom, pårørendes sygdom, blodprøvesvar, hjælp til at udarbejde skoleopgaver og litteratursøgning.

Indhold leveret af

Lægehåndbogen

Lægehåndbogen

Kristianiagade 12

2100 København Ø

DisclaimerLægehåndbogen