Lunger, røntgen, silikose

lunger-silikose-roentgen
356

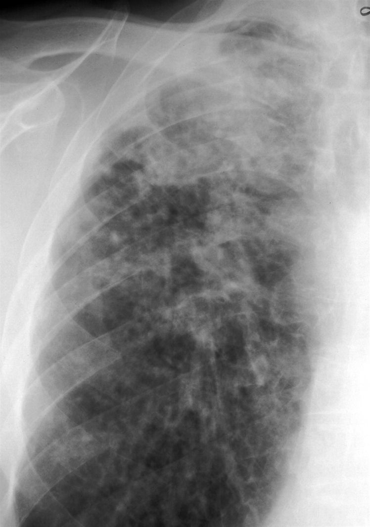
Røntgenbilledet viser den øverste del af højre lunge.

Der reticulære (stribeformede) og nodulære (runde) fortætninger i overlappen.

Sådanne forandringer kan ud over ved silikose også ses ved andre typer af lungesygdom.

Se kort animation om silikose.

Har du en kommentar til artiklen?

Bemærk venligst, at du IKKE vil modtage svar på henvendelser, der omhandler din egen sygdom, pårørendes sygdom, blodprøvesvar, hjælp til at udarbejde skoleopgaver og litteratursøgning.

Indhold leveret af

Lægehåndbogen

Lægehåndbogen

Kristianiagade 12

2100 København Ø

DisclaimerLægehåndbogen