Småcellet anaplastisk carcinom, efter behandling

lunger-smaacellet anaplastisk carcinom efter behandling-roentgen
357

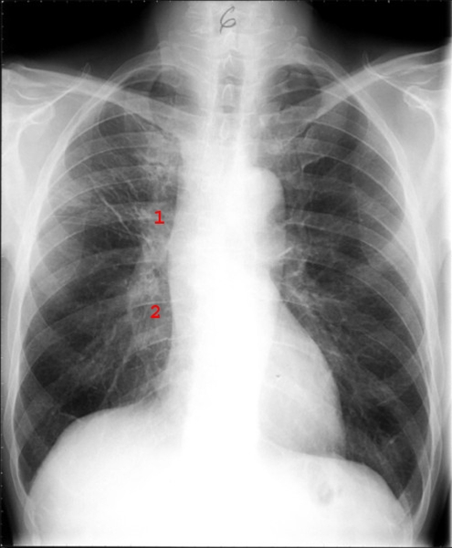
Efter cytostatikabehandling.

Markerede lymfeglandler i hilus på højre side (1 og 2). Atelektasen er svundet og der persisterer kun enkelte fibrøse strøg i højre overlap.

Vil du vide mere?

Har du en kommentar til artiklen?

Bemærk venligst, at du IKKE vil modtage svar på henvendelser, der omhandler din egen sygdom, pårørendes sygdom, blodprøvesvar, hjælp til at udarbejde skoleopgaver og litteratursøgning.

Indhold leveret af

Lægehåndbogen

Lægehåndbogen

Kristianiagade 12

2100 København Ø

DisclaimerLægehåndbogen