Småcellet anaplastisk carcinom, før behandling

lunger-smaacellet anaplastisk carcinom foer behandling-roentgen
358

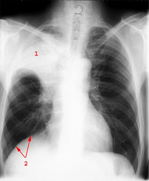
Atelektase af højre overlap (1) på grund af tumor, som afklemmer overlapsbronchus.

  1. Atelektase (sammenfald af lungevævet)
  2. Eleveret højresidig diafragma pga. atelektasen og dermed følgende volumenformindskelse

Vil du vide mere? 

Har du en kommentar til artiklen?

Bemærk venligst, at du IKKE vil modtage svar på henvendelser, der omhandler din egen sygdom, pårørendes sygdom, blodprøvesvar, hjælp til at udarbejde skoleopgaver og litteratursøgning.

Indhold leveret af

Lægehåndbogen

Lægehåndbogen

Kristianiagade 12

2100 København Ø

DisclaimerLægehåndbogen