Colon-invagination

colon-invagination-roentgen
387

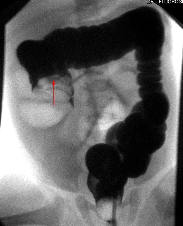
Enkelkontrastundersøgelse af tyktarmen. Terminale ileum og coecum har krænget sig ind i colon ascendens (pil). Ofte kan man ved hjælp af trykket fra colonkontrasten reponere invaginationen. Diagnosen stilles ved hjælp af CT-skanning, og i dag foretages reponeringen oftest med saltvandsindhældning.

Læs sundhedsfaglig artikel om tarminvagination.

Har du en kommentar til artiklen?

Bemærk venligst, at du IKKE vil modtage svar på henvendelser, der omhandler din egen sygdom, pårørendes sygdom, blodprøvesvar, hjælp til at udarbejde skoleopgaver og litteratursøgning.

Indhold leveret af

Lægehåndbogen

Lægehåndbogen

Kristianiagade 12

2100 København Ø

DisclaimerLægehåndbogen