Colorektal cancer, MR, tværsnit

colon-colorektal cancer tvaersnit-ct
4560

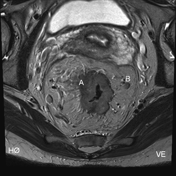
A: Rectumcanceren er vokset helt igennem tarmen (gennemvokset) ved A

B: Malignitetssuspekt lymfeknude ses lige under B'et.

Billedet viser en MR skanning af en rectumcancer i tværsnit. Tumor er stor og beliggende i den øvre del af rectum.

Vil du vide mere

 

Har du en kommentar til artiklen?

Bemærk venligst, at du IKKE vil modtage svar på henvendelser, der omhandler din egen sygdom, pårørendes sygdom, blodprøvesvar, hjælp til at udarbejde skoleopgaver og litteratursøgning.

Indhold leveret af

Lægehåndbogen

Lægehåndbogen

Kristianiagade 12

2100 København Ø

DisclaimerLægehåndbogen