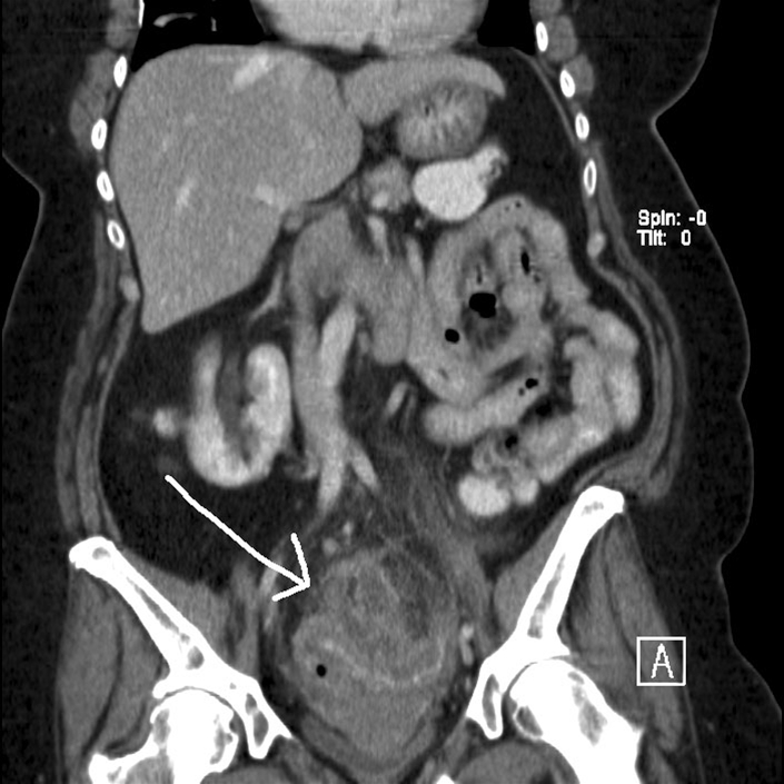
Diverticulitis i colon sigmoideum, længdesnit (CT)

colon sigmoideum laengdesnit-divertkel sygdom-ct
4320

CT scanning af abdomen hvor pilen peger på diverticulitis i colon sigmoideum.

Vil du vide mere?

Har du en kommentar til artiklen?

Bemærk venligst, at du IKKE vil modtage svar på henvendelser, der omhandler din egen sygdom, pårørendes sygdom, blodprøvesvar, hjælp til at udarbejde skoleopgaver og litteratursøgning.

Indhold leveret af

Lægehåndbogen

Lægehåndbogen

Kristianiagade 12

2100 København Ø

DisclaimerLægehåndbogen