Diverticulitis i colon sigmoideum, tværsnit (CT)

colon sigmoideum-divertkelsygdom-ct
4319

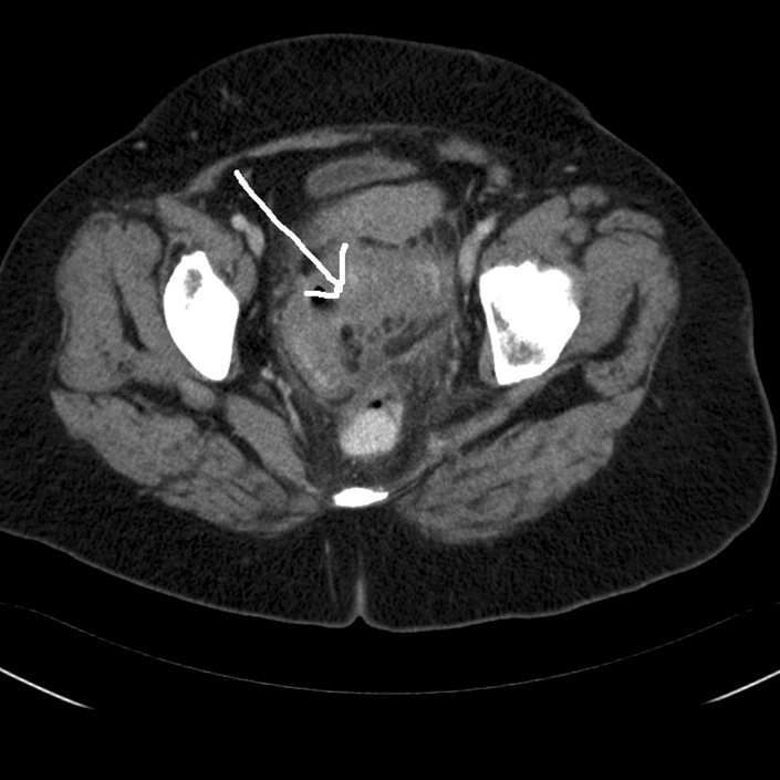
CT scanning af abdomen, hvor et tværsnit viser diverticulitis i colon sigmoideum (pil angiver lokalisering).

Vil du vide mere?

Har du en kommentar til artiklen?

Bemærk venligst, at du IKKE vil modtage svar på henvendelser, der omhandler din egen sygdom, pårørendes sygdom, blodprøvesvar, hjælp til at udarbejde skoleopgaver og litteratursøgning.

Indhold leveret af

Lægehåndbogen

Lægehåndbogen

Kristianiagade 12

2100 København Ø

DisclaimerLægehåndbogen