Lever, Metastaser, CT og Ultralyd
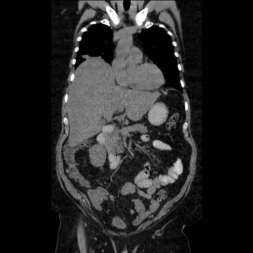
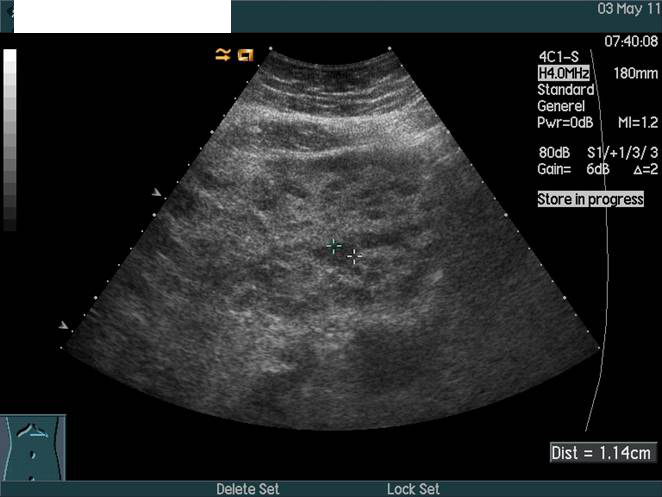
CT- og UL-skanning af leveren uden kontrast. CT (nedenfor) viser stor lever, men UL (ovenfor) viser variende ekkoer forenelig med metastaser. CT-diagnostik af levermetastaser kræver administration af kontraststof og skanning i den rette fase af kontraststoffets passage af leveren.

Indhold leveret af