Pankreas, Betændelse (akut), CT 1

pankreas-nekrotiserende pancreatit-mr
6374

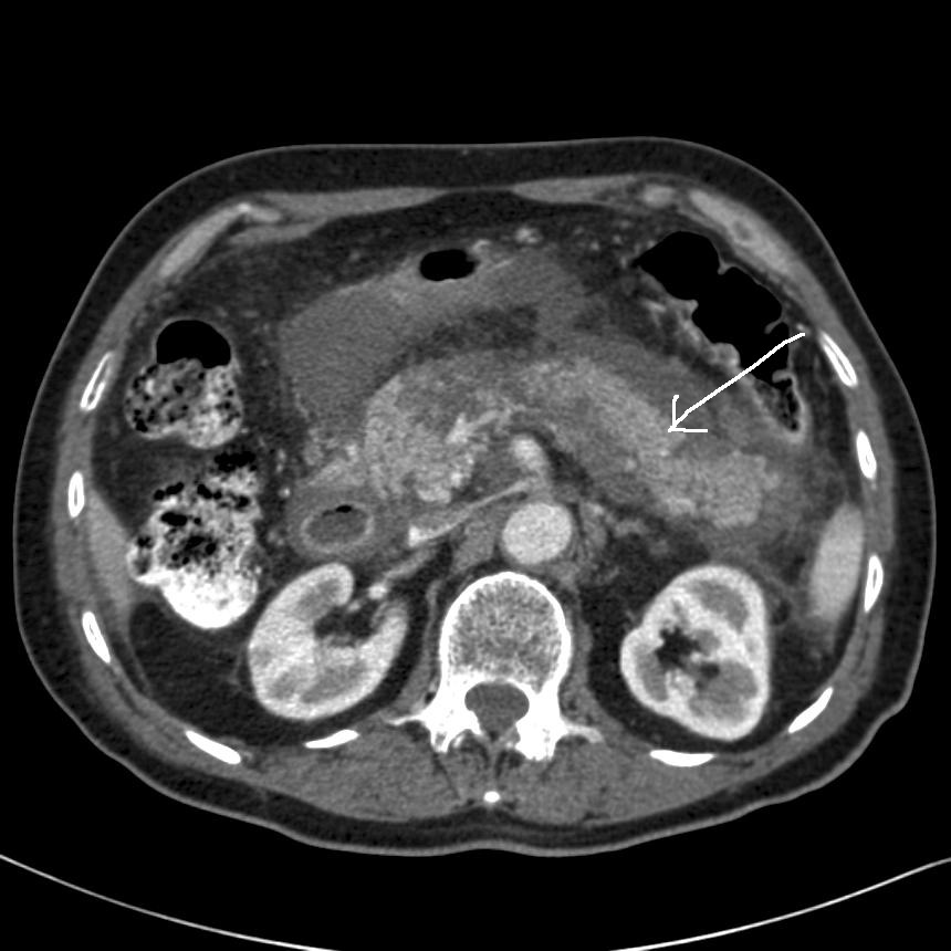
Billedet viser en CT-skanning hos en patient med akut nekrotiserende pankreatitis, hvor der er manglende kontrastudskillelse i store dele af pankreas. (Pilen angiver pankreas placering med nekroser).

Vil du vide mere?

Har du en kommentar til artiklen?

Bemærk venligst, at du IKKE vil modtage svar på henvendelser, der omhandler din egen sygdom, pårørendes sygdom, blodprøvesvar, hjælp til at udarbejde skoleopgaver og litteratursøgning.

Indhold leveret af

Lægehåndbogen

Lægehåndbogen

Kristianiagade 12

2100 København Ø

DisclaimerLægehåndbogen