Pankreas, Betændelse (kronisk), CT 2

pankreas-kronisk pankreatitis cyste i nyre og galdesten-ct
7265

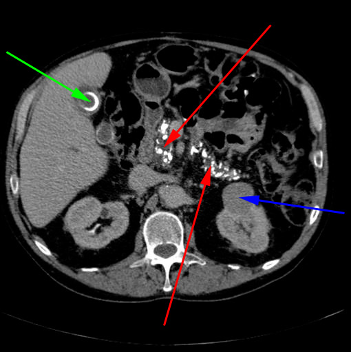
CT-skanning af øvre abdomen. Der er kalkudfældninger i bugspytkirtlen (røde pile), hvilket skyldes en kronisk betændelsestilstand i kirtlen (kronisk pankreatitis). Der er en cyste i venstre nyre (blå pil) og en stor galdesten (grøn pil) i galdeblæren.

Vil du vide mere?

Har du en kommentar til artiklen?

Bemærk venligst, at du IKKE vil modtage svar på henvendelser, der omhandler din egen sygdom, pårørendes sygdom, blodprøvesvar, hjælp til at udarbejde skoleopgaver og litteratursøgning.

Indhold leveret af

Lægehåndbogen

Lægehåndbogen

Kristianiagade 12

2100 København Ø

DisclaimerLægehåndbogen