Pankreas, Pseudocyste, CT

Pankreas-cyste-ct
6371

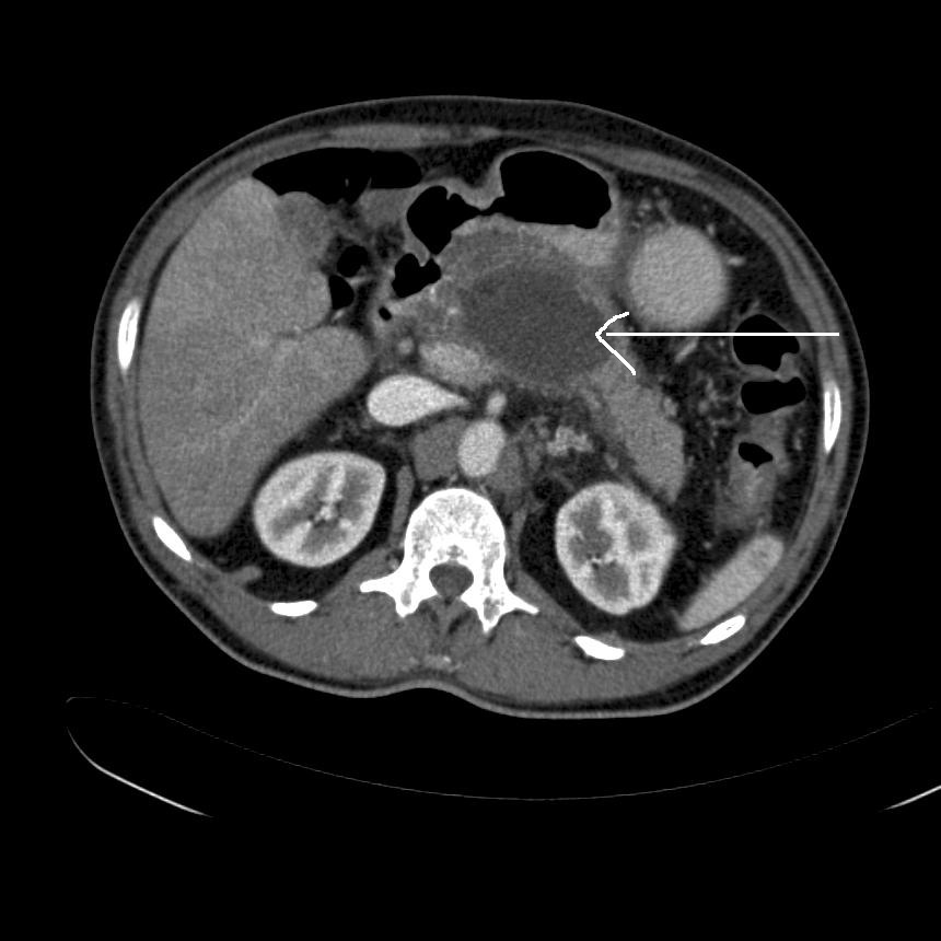
Billedet viser en CT-skanning hos en patient med en pseudocyste i pancreas, som i øvrigt ikke har inflammatoriske forandringer. (Pilen angiver pseudocystens placering).

Har du en kommentar til artiklen?

Bemærk venligst, at du IKKE vil modtage svar på henvendelser, der omhandler din egen sygdom, pårørendes sygdom, blodprøvesvar, hjælp til at udarbejde skoleopgaver og litteratursøgning.

Indhold leveret af

Lægehåndbogen

Lægehåndbogen

Kristianiagade 12

2100 København Ø

DisclaimerLægehåndbogen