Tyktarm, malign tumor, CT-kolografi
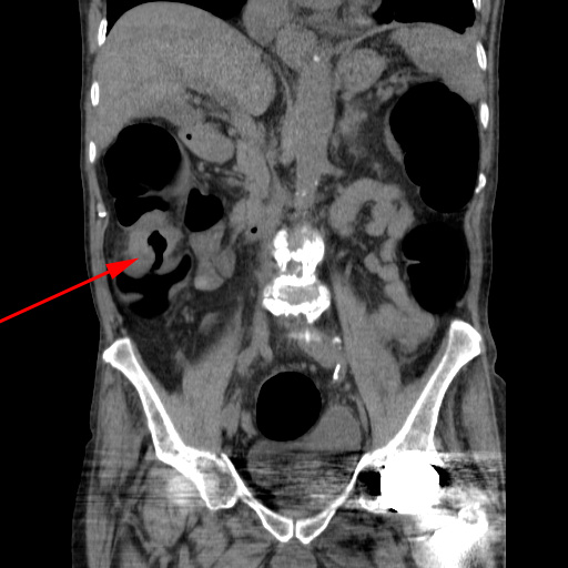
CT-kolografi (koronal rekonstruktion) der viser tumor i colon ascendens (rød pil).

Virtuel koloskopi der viser tumoren i colon ascendens (rekonstruktion af CT-skanningen). Samme patient som illustrationen ovenfor og nedenfor.

3D rekonstruktion der viser tumoren (rød pil) i colon ascendens. Samme patient som på de to illustrationer ovenfor.
Indhold leveret af