Tyktarm med divertikler

colon-divertikler-roentgen
386

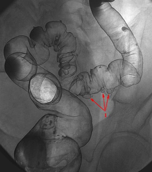
Dobbeltkontrast-røntgenbillede af endetarm (rektum) og tyktarmens nederste stykke (sigmoideum) med flere divertikler i varierende størrelser (røde pile ved 1). I dag anvender man næsten altid CT scanning i stedet for røntgen til at undersøge for divertikler.

Vil du vide mere?

Har du en kommentar til artiklen?

Bemærk venligst, at du IKKE vil modtage svar på henvendelser, der omhandler din egen sygdom, pårørendes sygdom, blodprøvesvar, hjælp til at udarbejde skoleopgaver og litteratursøgning.

Indhold leveret af

Lægehåndbogen

Lægehåndbogen

Kristianiagade 12

2100 København Ø

DisclaimerLægehåndbogen