Tyktarm, normal, CT-kolografi
CT skanning af abdomen med henblik på fremstilling af tyktarmen (colon). Et af mange billeder. Patienten ligger på ryggen.

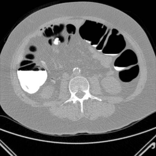
Samme patient som billedet lige før. I denne omgang er patienten skannet på maven. Igen et ud af mange billeder.

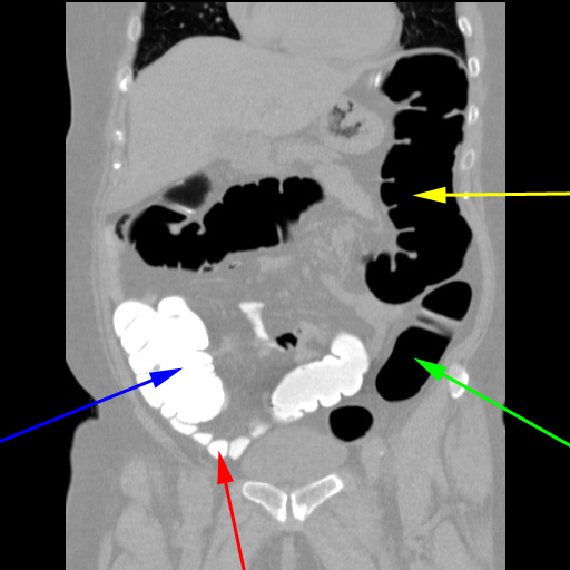
CT-kolografi. Koronal rekonstruktion af de mange tværsnitsbilleder der blev taget, mens patienten lå på ryggen. Man ser, at coecum (blå pil) og terminale ileum (rød pil) er kontrastfyldte, men colon sigmodium (grøn pil) og colon descendens (gul pil) er luftfyldte.

3D fremstilling af normal tyktarm i forbindelse med CT-kolografi.
Indhold leveret af