Volvulus

tyktarm-volvulus-roentgen
428

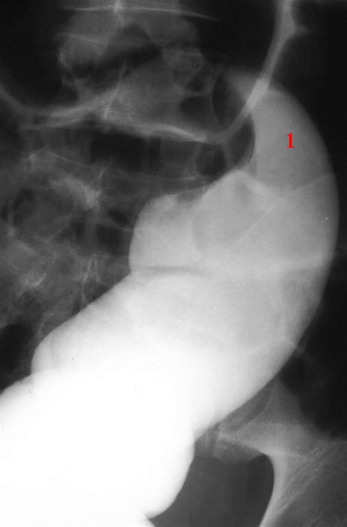
Enkelt kontrast optagelse af rektum-sigmoideumovergangen.

Kontrasten stopper i et typisk "næbformet" udseende (1).

Har du en kommentar til artiklen?

Bemærk venligst, at du IKKE vil modtage svar på henvendelser, der omhandler din egen sygdom, pårørendes sygdom, blodprøvesvar, hjælp til at udarbejde skoleopgaver og litteratursøgning.

Indhold leveret af

Lægehåndbogen

Lægehåndbogen

Kristianiagade 12

2100 København Ø

DisclaimerLægehåndbogen