Cerebral blødning (CT)

hjerne-cerebral bloedning-ct
449

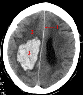
CT skanning af cerebrum. 

Blødning (lyst område) i hjernen på patientens højre side. Der er let omgivende ødem (mørkere) og diskret forskydning af midtlinjen. Blødningens placering er typisk for en hypertensions associeret blødning.

  1. Falx cerebri
  2. Ødem
  3. Blødning

Har du en kommentar til artiklen?

Bemærk venligst, at du IKKE vil modtage svar på henvendelser, der omhandler din egen sygdom, pårørendes sygdom, blodprøvesvar, hjælp til at udarbejde skoleopgaver og litteratursøgning.

Indhold leveret af

Lægehåndbogen

Lægehåndbogen

Kristianiagade 12

2100 København Ø

DisclaimerLægehåndbogen