Cerebral blødning med midtlinieforskydning (CT)

hjerne-cerebral bloedning med overskyvning-ct
450

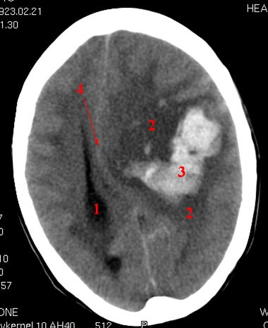
CT cerebrum uden kontrast. 

Blødning (lyst område) i hjernen på patientens venstre side.
Betydeligt ødem (mørkt område) omkring blødningen (hæmatomet).
Venstre sideventrikel er komprimeret, og midtlinjestrukturerne er skubbet mod højre side.

  1. Højre sideventrikel
  2. Ødem
  3. Blødning
  4. Midtlinjestrukturer - falx cerebri

Har du en kommentar til artiklen?

Bemærk venligst, at du IKKE vil modtage svar på henvendelser, der omhandler din egen sygdom, pårørendes sygdom, blodprøvesvar, hjælp til at udarbejde skoleopgaver og litteratursøgning.

Indhold leveret af

Lægehåndbogen

Lægehåndbogen

Kristianiagade 12

2100 København Ø

DisclaimerLægehåndbogen