Cerebral blødning thalamus (CT)

hjerne-cerebral bloedning thalamus-ct
451

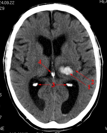
CT cerebrum uden kontrast.

Blødning (lyst område) i thalamusregionen på patientens venstre side.
Desuden ses forkalkninger (normalt) i plexus choroideus bilateralt og i corpus pineale (intenst hvide områder).

  1. Blødning i thalamus
  2. Ødem
  3. Forkalkninger i plexus choroideus
  4. Forkalkning i corpus pineale

Har du en kommentar til artiklen?

Bemærk venligst, at du IKKE vil modtage svar på henvendelser, der omhandler din egen sygdom, pårørendes sygdom, blodprøvesvar, hjælp til at udarbejde skoleopgaver og litteratursøgning.

Indhold leveret af

Lægehåndbogen

Lægehåndbogen

Kristianiagade 12

2100 København Ø

DisclaimerLægehåndbogen