Cerebralt infarkt media (CT)

hjerne-cerebralt infarkt media-ct
453

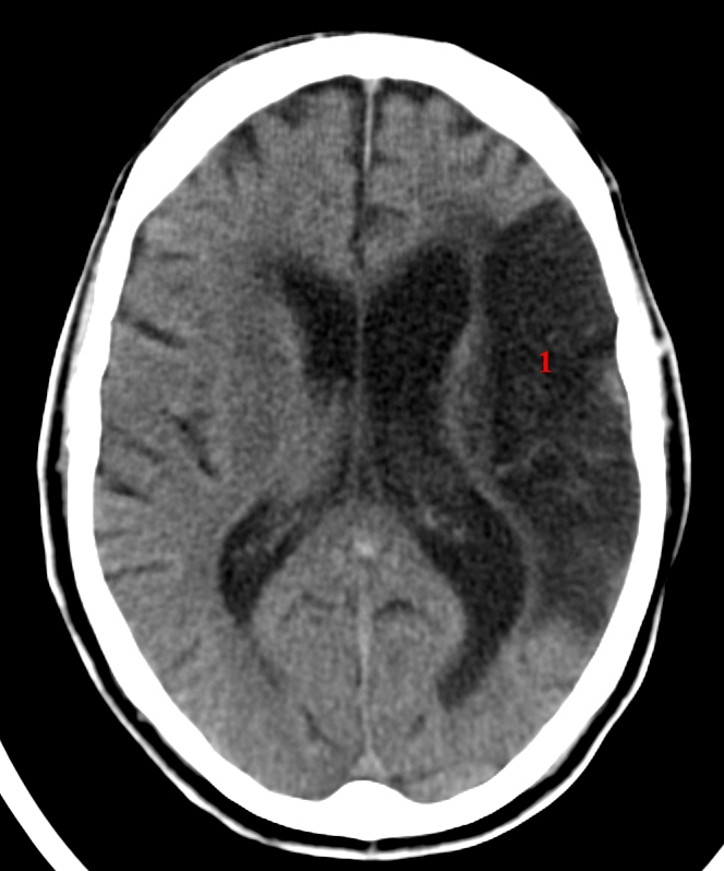
CT cerebrum uden kontrast.

Stort infarkt i arteria cerebri medias forsyningsområde på patientens venstre side (1). Infarktet er ikke helt friskt og fremstår med skarp demarkering.

Har du en kommentar til artiklen?

Bemærk venligst, at du IKKE vil modtage svar på henvendelser, der omhandler din egen sygdom, pårørendes sygdom, blodprøvesvar, hjælp til at udarbejde skoleopgaver og litteratursøgning.

Indhold leveret af

Lægehåndbogen

Lægehåndbogen

Kristianiagade 12

2100 København Ø

DisclaimerLægehåndbogen