leukoaraiose (CT)

hjerne-cerebrale multiinfarkt-ct
452

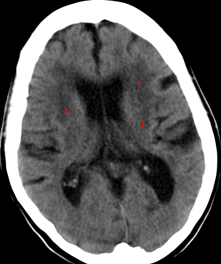
CT cerebrum uden kontrast.

Uregelmæssige, stort set symmetriske, lavattenuerende (mørke) områder (1) på begge sider med vævstab. Skyldes ofte kronisk iskæmi som følge af aterosklerose.

Kan graderes efter udbredelse i Fazekas grad 1-3.

Har du en kommentar til artiklen?

Bemærk venligst, at du IKKE vil modtage svar på henvendelser, der omhandler din egen sygdom, pårørendes sygdom, blodprøvesvar, hjælp til at udarbejde skoleopgaver og litteratursøgning.

Indhold leveret af

Lægehåndbogen

Lægehåndbogen

Kristianiagade 12

2100 København Ø

DisclaimerLægehåndbogen