Subaraknoidalblødning (CT)

hjerne-subaraknoidalbloedning-ct
501

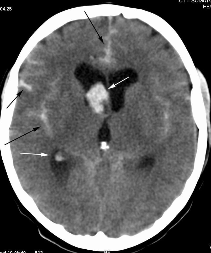
CT skanning af hjernen (axialbillede) uden kontrast.

Blod (lyse områder) i højre sideventrikel (hvide pile), mellem hemisfærerne frontalt og i fissura Sylvii på begge sider (sorte pile). Kalk i corpus pineale (intenst hvid).

Vil du vide mere?

Har du en kommentar til artiklen?

Bemærk venligst, at du IKKE vil modtage svar på henvendelser, der omhandler din egen sygdom, pårørendes sygdom, blodprøvesvar, hjælp til at udarbejde skoleopgaver og litteratursøgning.

Indhold leveret af

Lægehåndbogen

Lægehåndbogen

Kristianiagade 12

2100 København Ø

DisclaimerLægehåndbogen