Hjerne, aldersdegeneration, MR

hjerne-aldersforandringer ud for ventriklerne-ct
7969

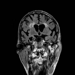
MR optagelse af aldersforandringer i hjernen ud for ventriklerne samt generel atrofi af storhjernen.

Vil du vide mere?

Har du en kommentar til artiklen?

Bemærk venligst, at du IKKE vil modtage svar på henvendelser, der omhandler din egen sygdom, pårørendes sygdom, blodprøvesvar, hjælp til at udarbejde skoleopgaver og litteratursøgning.

Indhold leveret af

Lægehåndbogen

Lægehåndbogen

Kristianiagade 12

2100 København Ø

DisclaimerLægehåndbogen