Hjerne, Anaplastisk ependymom, MR

hjerne-anaplastisk ependymom 1-mr
1524

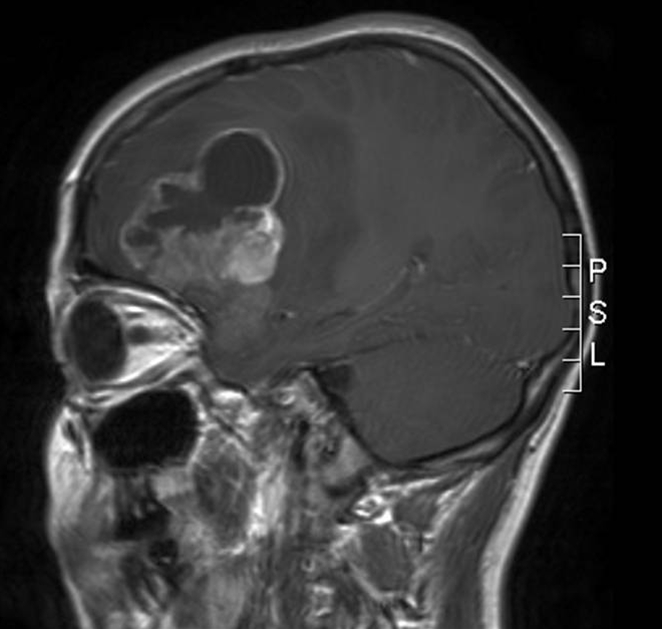
Billedet viser et anaplastisk ependymom, som er en malign hjernesvulst.

Har du en kommentar til artiklen?

Bemærk venligst, at du IKKE vil modtage svar på henvendelser, der omhandler din egen sygdom, pårørendes sygdom, blodprøvesvar, hjælp til at udarbejde skoleopgaver og litteratursøgning.

Indhold leveret af

Lægehåndbogen

Lægehåndbogen

Kristianiagade 12

2100 København Ø

DisclaimerLægehåndbogen