Hjerne, Medulloblastom , MR-scanning

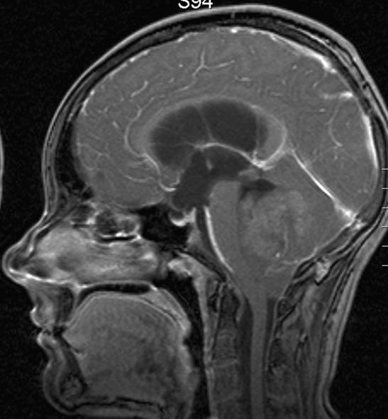
MR-scanning viser et medulloblastom i 2 vinkler (axialt, sagittalt)
Gengivet med tilladelse fra Radiologisk afdeling, Universitetssygehuset Nord-Norge
Indhold leveret af

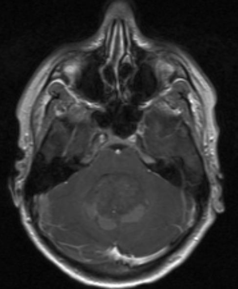
MR-scanning viser et medulloblastom i 2 vinkler (axialt, sagittalt)
Gengivet med tilladelse fra Radiologisk afdeling, Universitetssygehuset Nord-Norge
Indhold leveret af