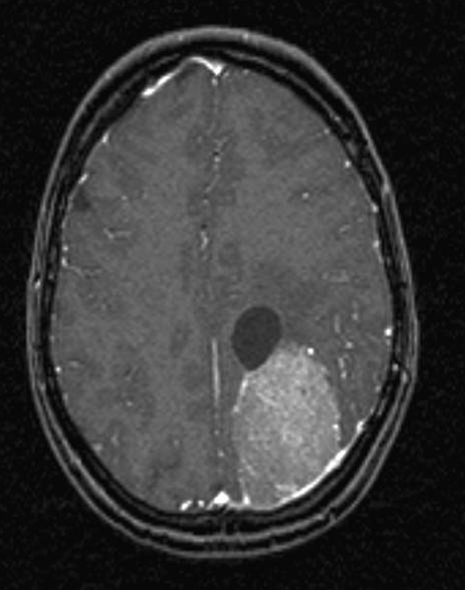
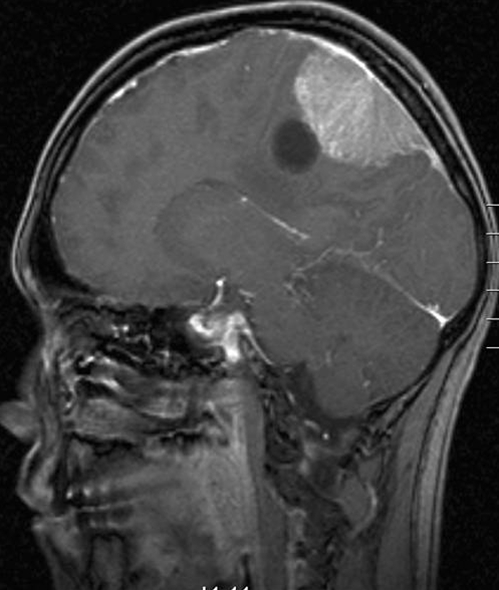
Hjerne, Meningeom med cyste, MR

MR-skanning af hovedet med kontraststof viser et bredbaseret meningeom med kraftig kontraststof-opladning. Der er yderligere en cyste ved siden af meningeomet.
Gengivet med tilladelse fra Radiologisk afdeling, Universitetssygehuset Nord-Norge
Indhold leveret af