Hjerne, Metastase, MR-scanning

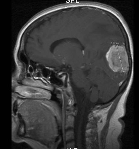
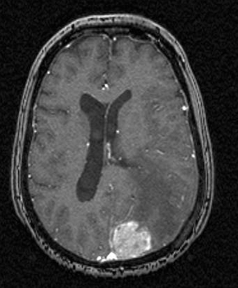
MR-scanning med kontraststof viser en metastase fra en kræftknude i brystet. Man ser den både axialt og saggitalt.
Gengivet med tilladelse fra Radiologisk afdeling, Universitetssygehuset Nord-Norge
Indhold leveret af