Hjerne, normal, MR
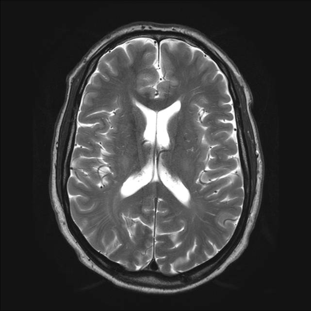
Billede 1: Normal hjerne, tværsnit (set oppefra).

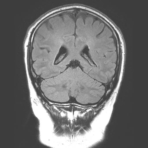
Billede 2: Normal hjerne, coronalt snit (set bagfra).

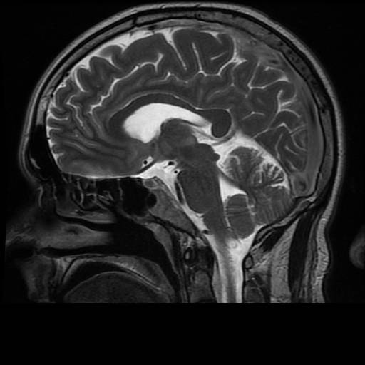
Billede 3: Normal hjerne, sagittalt snit (set fra siden).

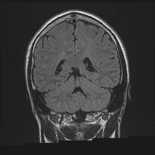
Billede 4: Normal hjerne, coronalt snit (set bagfra) hos en anden patient end billede nr. 2.
MR-billederne viser fire forskellige optagelser af en normal hjerne. Cerebrospinalvæsken er hvid på billede 1 og 3, mens den er sort på 2 og 4. Man ser tydeligt forskellen på grå og hvid substans i hjernen, det ses bedst på 2 og 4.
Vil du vide mere?
Indhold leveret af