Meningeom, MR

hjerne-meningeom uden kontrast-mr
8318

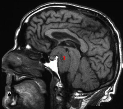
MR uden kontrast - sagitalt snit

  1. Meningeomet (bindevævsknude udgående fra hjernehinde)

Har du en kommentar til artiklen?

Bemærk venligst, at du IKKE vil modtage svar på henvendelser, der omhandler din egen sygdom, pårørendes sygdom, blodprøvesvar, hjælp til at udarbejde skoleopgaver og litteratursøgning.

Indhold leveret af

Lægehåndbogen

Lægehåndbogen

Kristianiagade 12

2100 København Ø

DisclaimerLægehåndbogen