Meningeom, MR med kontrast

hjerne-meningeom med kontrast-mr
8317

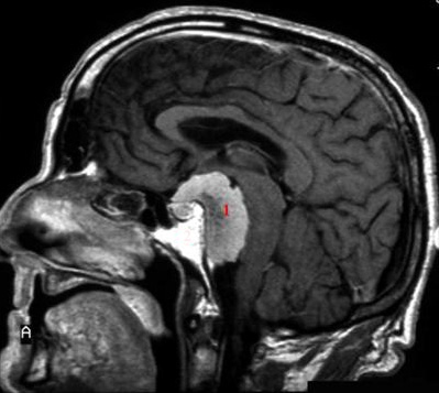
MR skanning med kontrast - sagittalt snit.

  1. Meningeomet ses tydeligere da det optager kontrastmiddel.

Det ligger så det kan påvirke synsnerven og hypofysen, samt påvirke hjernestammen.

Har du en kommentar til artiklen?

Bemærk venligst, at du IKKE vil modtage svar på henvendelser, der omhandler din egen sygdom, pårørendes sygdom, blodprøvesvar, hjælp til at udarbejde skoleopgaver og litteratursøgning.

Indhold leveret af

Lægehåndbogen

Lægehåndbogen

Kristianiagade 12

2100 København Ø

DisclaimerLægehåndbogen