Resumé
Diagnose
- Diagnostiske kriterier for akut dissemineret encefalomyelitis (ADEM) hos børn:
- Neurologiske udfald forårsaget af demyelinisering i hjerne og rygmarv
- Encefalopati, dvs. ændring i bevidsthedsniveau eller opførsel, som ikke kan forklares med feber
- Ingen nye kliniske symptomer eller MR-læsioner mere end 3 måneder efter debut
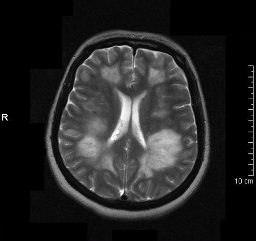
- Typiske fund på MRI:
- Diffuse, dårligt demarkerede, store (>1-2 cm) T2 læsioner, som overvejende involverer den cerebrale hvide substans
- T1 hypointense læsioner i den hvide substans er sjældne
- Grå substans læsioner, enten kortikale eller i thalamus/basalganglier (ca. 50%)
- Gadolinium opladende læsioner er til stede i varierende omfang
- Diagnostiske kriterier for akut dissemineret encefalomyelitis (ADEM) hos voksne (2 af 3 skal være opfyldt):
- Atypiske symptomer for MS (ændret bevidsthed, hypersomni, kramper, nedsat kognition, hemiparese, tetraparese, afasi, bilateral opticus neutitis)
- Manglende oligoklonale bånd i cerebrospinalvæsken
- Læsion i grå substans (basale ganglier eller kortikale grå substans)
Behandling
- Immunusupressiv behandling; methylprednisolon - ved manglende effekt immunglobulin eller plasmaferese
Henvisning
- Tilstanden udredes ikke i almen praksis - henvises til akut udredning på sygehus
