Nyre, pyonefrose, ultralyd

nyre pyonephrose ultralyd
7623

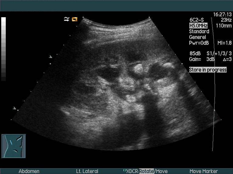
Nyre med pyonefrose (betændelse) påvist med ultralydskanning. Der ses også sten, som giver de sorte slagskygger på billedet. Calyces er dilaterede (de sorte hulrum).

Har du en kommentar til artiklen?

Bemærk venligst, at du IKKE vil modtage svar på henvendelser, der omhandler din egen sygdom, pårørendes sygdom, blodprøvesvar, hjælp til at udarbejde skoleopgaver og litteratursøgning.

Indhold leveret af

Lægehåndbogen

Lægehåndbogen

Kristianiagade 12

2100 København Ø

DisclaimerLægehåndbogen